Stress fractures are most frequently seen in runners and triathletes, but they also affect other athletes such as track and field competitors, tennis players, and participants in team sports like soccer, basketball, and volleyball. This injury predominantly affects amateurs, particularly those who are highly ambitious. It is less common among professionals or individuals with a better understanding of training and body mechanics. A stress fracture may serve as a direct signal that the training regimen is flawed, and if not adjusted, recurrent injuries could force individuals to abandon their favorite physical activities.
Stress Fracture – Causes
Unlike typical bone fractures, stress fractures do not result from a sudden trauma. They develop gradually, over weeks or even months. The cause is the accumulation of small but repetitive micro-damage to the bone, combined with excessive stress on ligaments and muscle fatigue, which results from prolonged and strenuous activity. Runners with poorly planned training schedules are particularly prone to stress fractures. Common mistakes include overly frequent workouts, excessively long sessions, and excessive loads. These issues are compounded by insufficient attention to rest and recovery for bones, joints, and ligaments.
Additional factors that accelerate the occurrence of stress fractures include poorly fitted footwear or orthopedic insoles that fail to absorb shocks, running on hard surfaces, and engaging in multiple high-impact sports simultaneously (e.g., running and tennis). Conversely, stress on bones and joints may also stem from a higher body weight, such as in cases of obesity.
Stress Fractures in Runners
Common contributing factors include:
- Excessive training loads,
- Incorrect execution of exercises,
- Lack of proper warm-up before workouts,
- Insufficient recovery time between sessions,
- Biomechanical issues affecting body movement,
- Poorly fitted training footwear,
- Combining high-impact activities (e.g., running and tennis),
- Overweight or poor diet.
Stress Fracture – Symptoms
Initially, pain is mild and occurs only after physical activity. It is often ignored as it is not particularly bothersome, allowing the individual to continue their training plan. However, after several weeks, the pain intensifies and begins to occur much earlier, even during workouts.
Over time, the pain becomes more persistent and noticeable during daily activities. It can be deep, sharp, and sometimes radiate outward. A thickening, swelling, and redness may develop on the affected bone, marking the fracture site.

Stress Fracture – Diagnosis
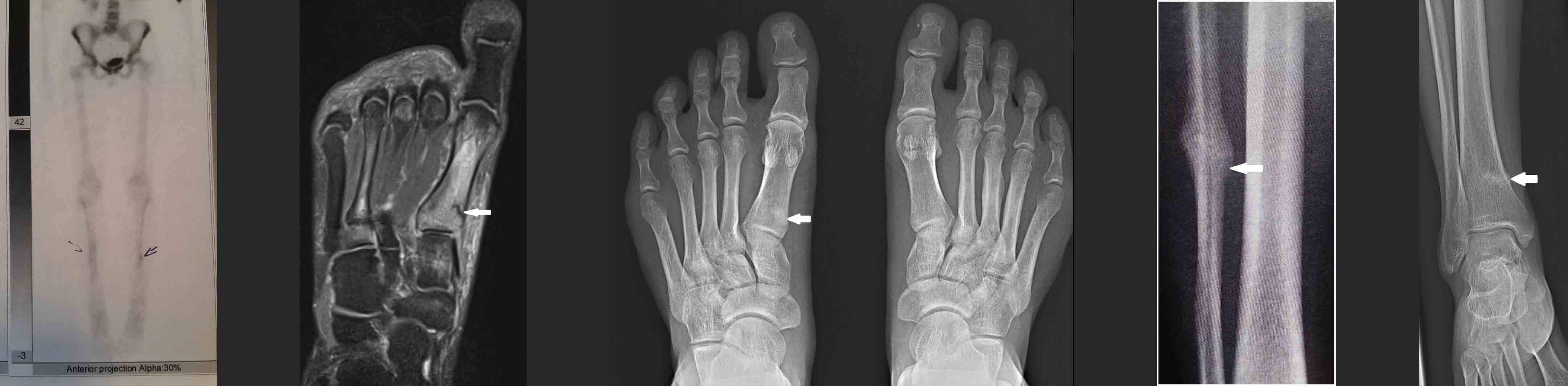
Diagnosis of a stress fracture begins with a medical history and clinical examination conducted by a specialist. Imaging tests, such as X-rays and ultrasounds, are the next steps. In early stages, a stress fracture may not be visible on an X-ray. For more challenging cases (e.g., involving the pelvis or spine), further diagnostics, such as magnetic resonance imaging (MRI) or bone scintigraphy, may be required.
Common Locations of Stress Fractures
- Tibia – approximately 30% of cases,
- Navicular bone (tarsal bone) – approximately 20%,
- Metatarsal bones – approximately 20%,
- Femur – approximately 15%,
- Fibula – approximately 10%,
- Pelvis – approximately 5%.
Stress Fracture – Treatment
The treatment of stress fractures depends primarily on their location and the underlying causes of the injury. Different approaches are used for fractures caused by excessive training versus those linked to anatomical predispositions (e.g., in the tibia) or hormonal disorders leading to osteoporosis.
The primary approach is non-surgical treatment, which involves addressing the root cause, such as reducing training intensity, using orthopedic insoles, applying braces, offloading the affected limb with crutches, and correcting hormonal imbalances.
Surgical intervention is reserved for specific types of fractures, such as certain femoral neck fractures, stress fractures of the proximal fifth metatarsal, or cases where non-surgical treatment fails.
Stress Fracture – Returning to Sports
For many athletes, a stress fracture is one of the worst injuries they can experience. They fear recurrence, which could significantly impact their sports careers. However, rehabilitation and a proper return to physical activity play a crucial role in mitigating this risk. When the causes of the initial fracture are addressed, the likelihood of recurrence is minimal. Athletes typically return to full sports activity approximately three months after the fracture or once radiological confirmation of bone healing is obtained. Follow-up tests, such as X-rays or sometimes MRI, are used to confirm healing.
Stress Fracture – Prevention
To prevent stress fractures:
- Avoid increasing training loads and durations too quickly.
- Ensure adequate rest periods between training sessions to allow for recovery.
- Incorporate general conditioning and stability exercises into running training.
Related Articles:
Explore other potential foot and ankle injuries.
References:
- "Stress fractures: pathophysiology, clinical presentation, imaging features, and treatment options" - George R Matcuk Jr, Scott R Mahanty, Matthew R Skalski, Dakshesh B Patel, Eric A White, Christopher J Gottsegen - 2016
- OrhoInfo - "Stress Fractures of the Foot and Ankle" - Zachary Vincent Braig, MD Taylor Beahrs, MD
- National Library of Medicine - "Stress Fractures" - Todd May; Raghavendra Marappa-Ganesha
- HSS - "Stress Fractures of the Foot and Ankle" - Scott J. Ellis, MD

