• Femoral Neck Fracture

    Femoral Neck Fracture

    A femoral neck fracture is one of the most common types of fractures involving the hip joint. In elderly individuals, it most often occurs as a result of a low-energy fall, frequently in the presence of osteoporosis, which significantly increases the risk of complications and mortality. Surgical treatment—depending on the type of fracture, the patient’s age, and functional status—includes either...
  • Osteoarthritis of the Hip

    Osteoarthritis of the Hip

    Osteoarthritis of the hip – also known as degenerative joint disease of the hip or coxarthrosis – is one of the most common causes of pain and restricted mobility in older individuals. This condition develops gradually and can significantly impact the patient's quality of life. Unfortunately, osteoarthritis of the hip increasingly affects younger, physically active individuals, which in some cases...
  • Hip Pain While Walking

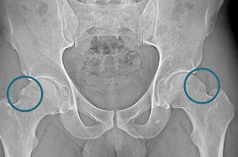
    Hip Pain While Walking

    Hip pain during walking or movement can have various causes. In younger individuals and athletes, especially following an injury, the issue may stem from intra-articular factors, such as labral tears. In contrast, in older individuals, degenerative changes may be the primary cause of the discomfort.
  • Femoroacetabular Impingement

    Femoroacetabular Impingement

    Hip joint pain is no longer exclusive to older individuals with sedentary lifestyles. Increasingly, individuals aged 30-40, and sometimes even younger, leading active lifestyles are visiting orthopedic clinics with this complaint. One potential cause of this pain, identified by orthopedic surgeons, radiologists, and physiotherapists, is femoroacetabular impingement (FAI). This condition is...
  • Hip Arthroscopy

    Hip Arthroscopy

    Hip pain is an increasingly common reason for patients to visit orthopedic specialists, who use arthroscopy as a therapeutic tool. Hip arthroscopy is a minimally invasive procedure that safely relieves hip pain and addresses other issues within the hip joint. It allows for quicker post-operative recovery.
  • Snapping hip

    Snapping hip

    Snapping hip, or Snapping Hip Syndrome (SHS), is a condition in which a person may hear a snapping sound or feel a "skip, or snap" in the joint when walking, standing up from a chair or rotating the leg. The sensation occurs when a muscle or tendon moves over a bony protrusion in the hip. Although it is usually painless and harmless, it can be annoying. Snapping hip syndrome, also known as dancer's...
  • Groin pain

    Groin pain

    Groin pain, especially groin pain while walking, is described in the literature as a multifactorial condition in which a multitude of symptoms can overlap, causing difficulty in diagnosis. The most common non-joint cause of pain originating from the musculoskeletal system is pain in the adductor group muscles (inner side of the thigh) or hip flexors (anterior side of the thigh). A visit to an...
  • Hip joint endoprosthesis

    Hip joint endoprosthesis

    Hip endoprosthesis is considered one of the greatest medical advances of the last century. Hip degeneration is a condition that affects not only the elderly, the characteristic symptoms of the disease can bother people just after the age of 45. Hip pain, gait abnormalities, stiffness and restriction in range of motion, as well as skipping in the hip, this is what patients most often face. Late...